대한갑상선영상의학회

로그인

에탄올 절제술

에탄올 절제술이란?

에탄올 절제술은 재발성 양성 낭성 갑상선 결절 내부로 고순도 (95-99%) 의료용 에탄올을 직접 주입하여 최대 85-95%의 부피 감소 효과를 얻을 수 있는 유용한 비수술적 치료 방법입니다.

시술 대상은?
증상을 유발하는 양성 낭성 갑상선 결절에 대해 단순흡인으로 낭액을 제거하는 것이 일차적인 진단 및 치료 방법이지만 단순흡인 후에도 반복적으로 재발하여 압박 증상을 보이거나 미용적인 문제를 일으키는 양성 낭성 갑상선 결절에 대해서는 에탄올 절제술을 고려할 수 있습니다. 이때, 초음파에서 전형적인 양성 낭성 결절의 소견을 보일 때에는 한 차례의 미세침흡인 양성 결과 후에 에탄올 절제술을 시행할 수 있지만, 고형 성분이 있는 낭성 결절의 경우에는 시술 전에 적어도 두 차례의 미세침흡인 양성 결과의 확인이 필요합니다.
시술 방법은?
모든 시술 과정은 초음파 유도하에 시행됩니다. 또한, 국소마취만으로 시술이 가능하므로 외래 환자를 대상으로 시행될 수 있습니다. 갑상선 협부를 통해 굵은 주사 바늘을 결절 내부로 삽입하여 가능한 한 많은 내부 액체를 흡인한 후 적당량의 에탄올을 결절 내부로 주입합니다. 시술이 끝나면, 주사 바늘 천자 부위를 5-10분 정도 가볍게 압박합니다.
시술의 합병증은?
에탄올 절제술은 안전한 치료 옵션이며, 초음파 유도하 시술에 익숙한 의사가 시행할 경우 합병증은 대부분 경미하고 일시적입니다. 가장 흔한 합병증은 천자 부위의 국소 통증이며, 혈종, 안면 홍조, 취한 느낌, 쉰 목소리, 호흡곤란, 일시적인 갑상선 기능 항진증 등이 발생할 수 있습니다.

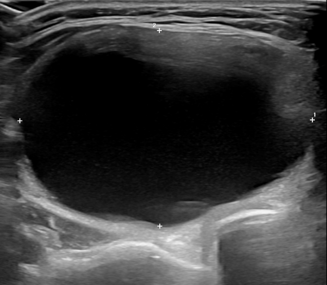
시술전

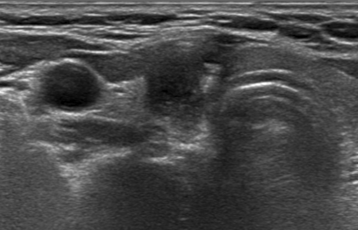
시술후